Insólito: una mujer vivió 20 años con una gasa en el intestino
La paciente había sido operada por cáncer y los médicos se habian olvidado una gasa en su abdomen.
Una mujer vivió 20 años con una gasa dentro de su intestino producto del olvido de un grupo de médicos que la habían operado por cáncer. IMÁGENES SENSIBLES.
“El paciente permaneció completamente asintomático durante 20 años con la presencia de un cuerpo extraño considerablemente grande en la cavidad abdominal”, publicó un estudio del caso que se publicó en julio de 2022 en el Cureus Medical Journal.
La paciente de 65 años había sufrido un tipo raro de cáncer llamado adenocarcinoma de la mucosa gástrica y se había sometido a una serie de operaciones en 1999 para erradicar la enfermedad.
Según los informes, recibió una gastrectomía y una epiploectomía antes de someterse a quimioterapia. Y aunque finalmente fue declarada libre de cáncer, no supo hasta 20 años después que los cirujanos habían dejado accidentalmente una gasa dentro de su cuerpo durante la operación.
La mujer comenzó a experimentar abdominal intenso, fiebre, sudores nocturnos e hinchazón en la extremidad inferior derecha. Además, sufría de anorexia inexplicable, lo que la hizo perder 17 libras, más del 10% de su masa corporal.
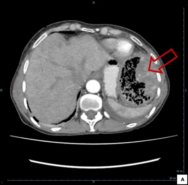
Alarmada por la aparición repentina de los síntomas, la paciente acudió al hospital, donde las ecografías revelaron una gran gasa en el abdomen. Los médicos creían que el polizón pegajoso se había quedado en su colon durante la operación dos décadas antes.
Afortunadamente, los cirujanos pudieron retirar el suministro de primeros auxilios sin problemas. Los autores del estudio de caso no revelaron de dónde era la paciente ni dónde recibió tratamiento.
Temas
Las Más Leídas










Dejá tu comentario