Un hombre estuvo más de cuatro años con un gusano en su cabeza
Tiene 50 años y luego de sufrir cotidianos dolores de cabeza y experimentar olores extraños fue al médico y descubrió un raro parásito en su cerebro.
Tan sólo 300 casos en los que los humanos se infectaron con este parásito han sido detectados desde 1953 .
En vez de vivir en el tejido cerebral de su víctima sin saberlo, se cree que el parásito simplemente han absorbido los nutrientes de los cerebro del hombre a través de su cuerpo.
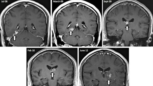
El paciente notó por primera vez que algo andaba mal en 2008, cuando comenzó a sufrir dolores de cabeza, convulsiones, los flashbacks de memoria y olores extraños.
Después de visitar a su médico, una resonancia magnética reveló un grupo de anillos en el lóbulo temporal derecho.
Después de someterse a dos biopsias, los cirujanos encontraron el gusano moviéndose en su cerebro y lo quitaron en 2012. Luego, el hombre se dio medicamentos para ayudar a tratar la infección, pero él sigue sufriendo de problemas asociados con haber tenido el gusano que vive en su cerebro.
No se sabe cómo se convirtió en primer infectado, pero una fuente de la infección podría haber sido el uso de cataplasma rana, un remedio tradicional chino donde se utiliza carne de rana cruda para calmar el cansancio en los ojos.
Las Más Leídas






Dejá tu comentario